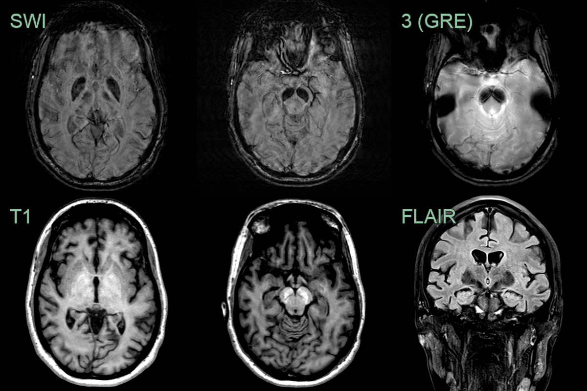
Beta propeller protein associated neurodegeneration

panels-1

  • A 25-year-old patient presented with possible seizures and parkinsonism.
  • MRI showed pronounced iron deposition in the globi pallidi and substantia nigra.
  • The substantia nigra T1-hyperintensity was typical for the diagnosis of BPAN.