Skip to content

Cerebral Autosomal Dominant Arteriopathy with Subcortical Infarcts and Leukoencephalopathy (CADASIL)

panels-1

panels-1

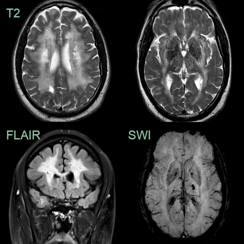
  • A 55-year-old patient with no cardiovascular risk factors presented with recurrent headache.
  • MRI showed a confluent leukoencephalopathy, involving the external capsules and anterior temporal lobes, and lacunar infarcts.
  • There were deep and lobar microhemorrhages.

panels-1

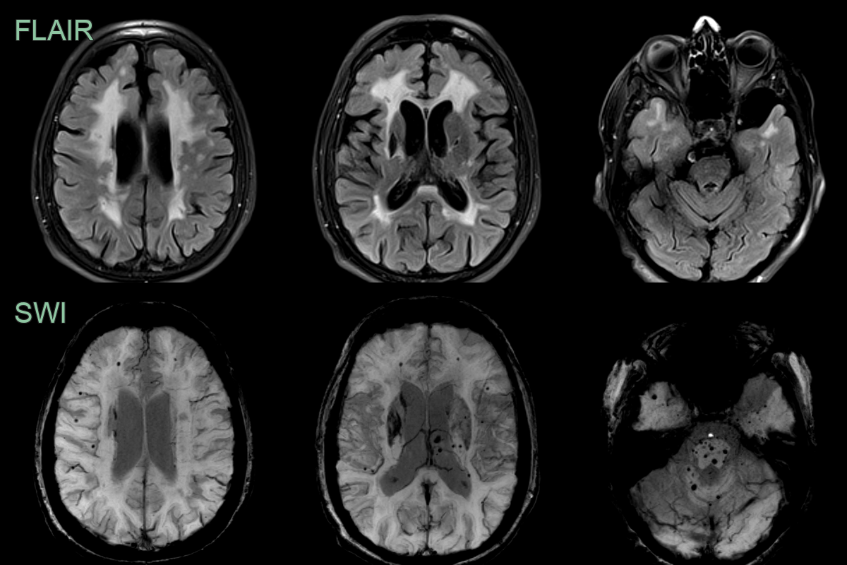
  • 50-year-old patient with no cardiovascular risk factors had recurrent strokes.
  • MRI showed a severe burden of small vessel disease, multiple lacunar infarcts and mixed distribution microhemorrhages.

panels-1

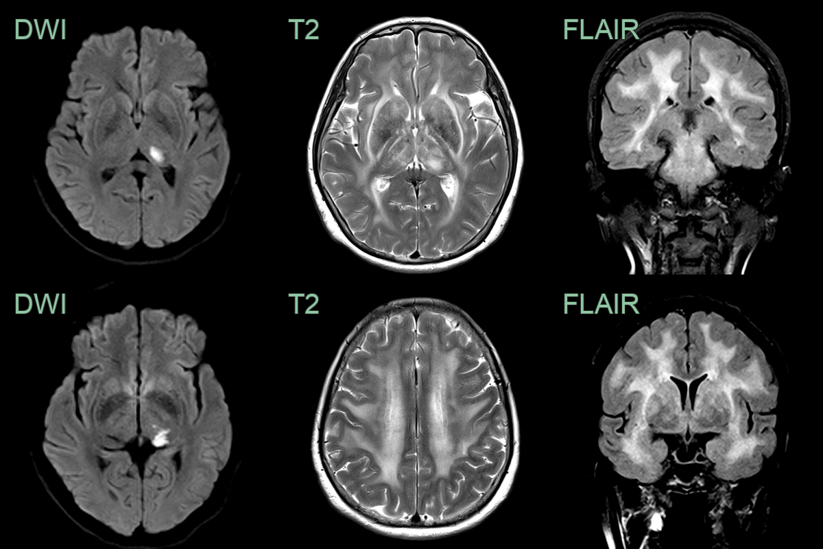
  • 50-year-old patient presented with a homonymous hemianopia and mixed sensory and motor deficits.
  • MRI showed an acute left thalamic infarct and a diffuse leukoencephalopathy that involved the external capsules and anterior temporal lobes.

panels-1

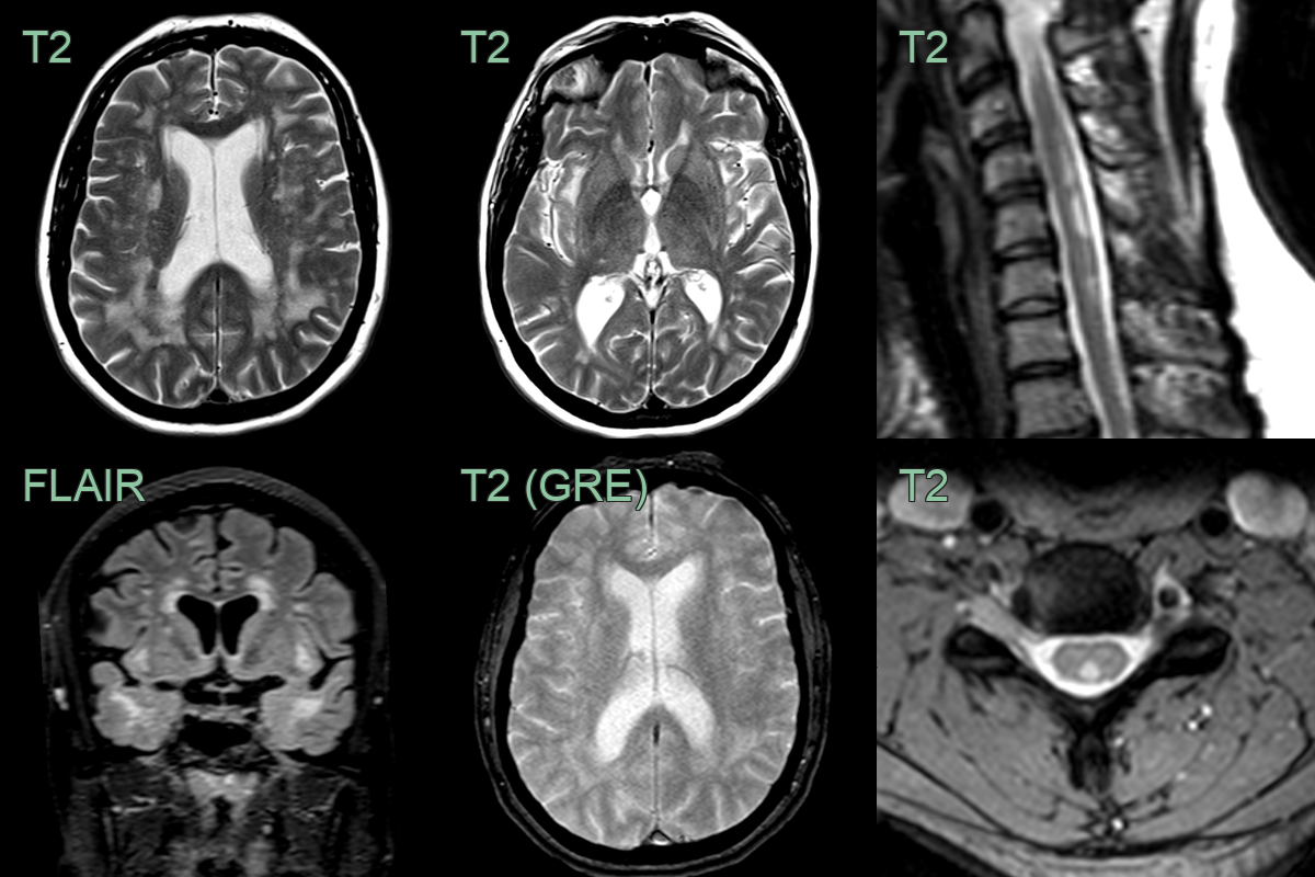
  • Alongside the classical intracranial features of CADASIL, MRI showed multiple dorsal column hyperintensities.
  • With no evidence of a metabolic or demyelinating cause, findings were ascribed to a CADASIL-related myelopathy.