Cerebral metastasis
- A 60-year-old patient who was diagnosed with colonic cancer three years prior presented with a right visual field defect and headache.
- A large left occipital lobe lesion showed peripheral enhancement and was surrounded by vasogenic edema.
- The peripheral T2-hypointensity within the lesion has been reported to be related to collagen accumulation.
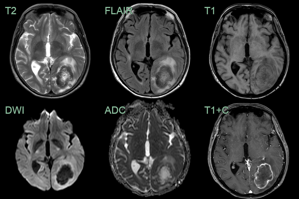
- A 70-year-old patient with small cell lung cancer presented with right leg weakness.
- MRI showed many peripherally enhancing lesions, the larges of which was in the left paracentral lobule.
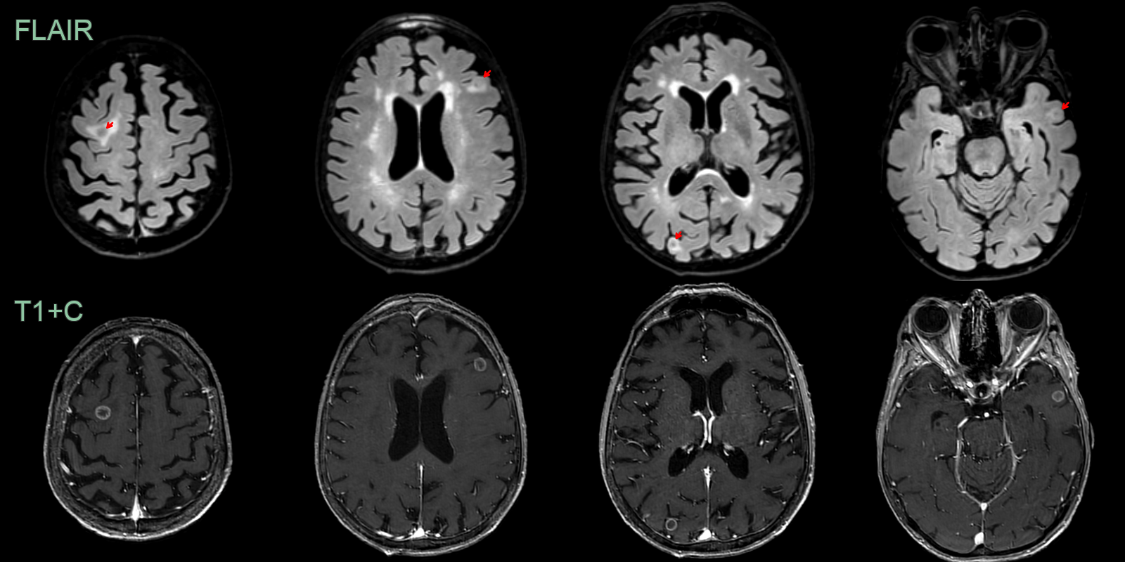
- Following chemotherapy, MRI showed a marked reduction in the size of all of the lesions and the surrounding edema.




