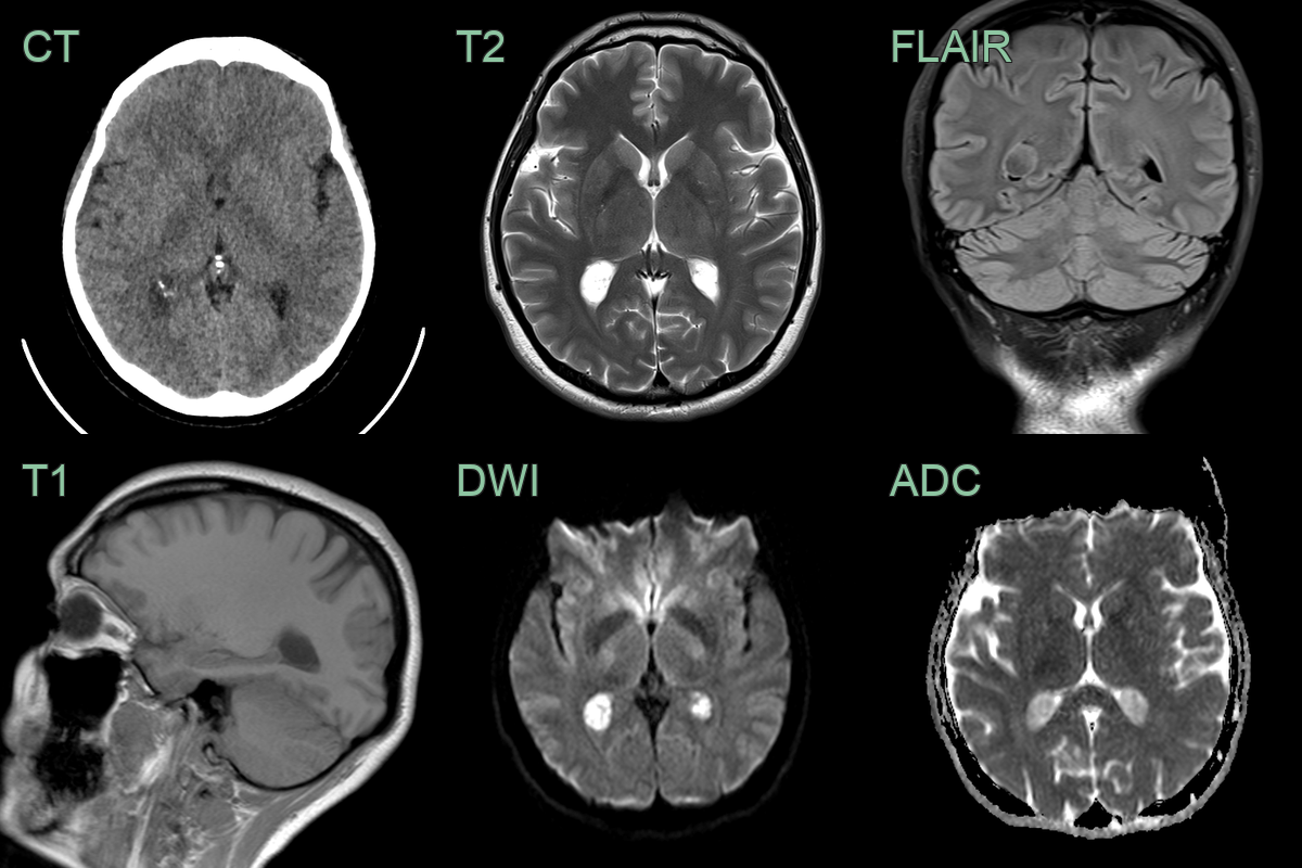
Choroid plexus xanthogranuloma

panels-1

  • The choroid plexus within the trigones of the lateral ventricles were expanded and hyperintense on diffusion-weighted imaging.