Clival metastasis

panels-1

  • 55-year-old patient with lung cancer presented with diplopia.
  • MRI showed a destructive and enhancing clival lesion that extended into the pituitary fossa and suprasellar space.

panels-1

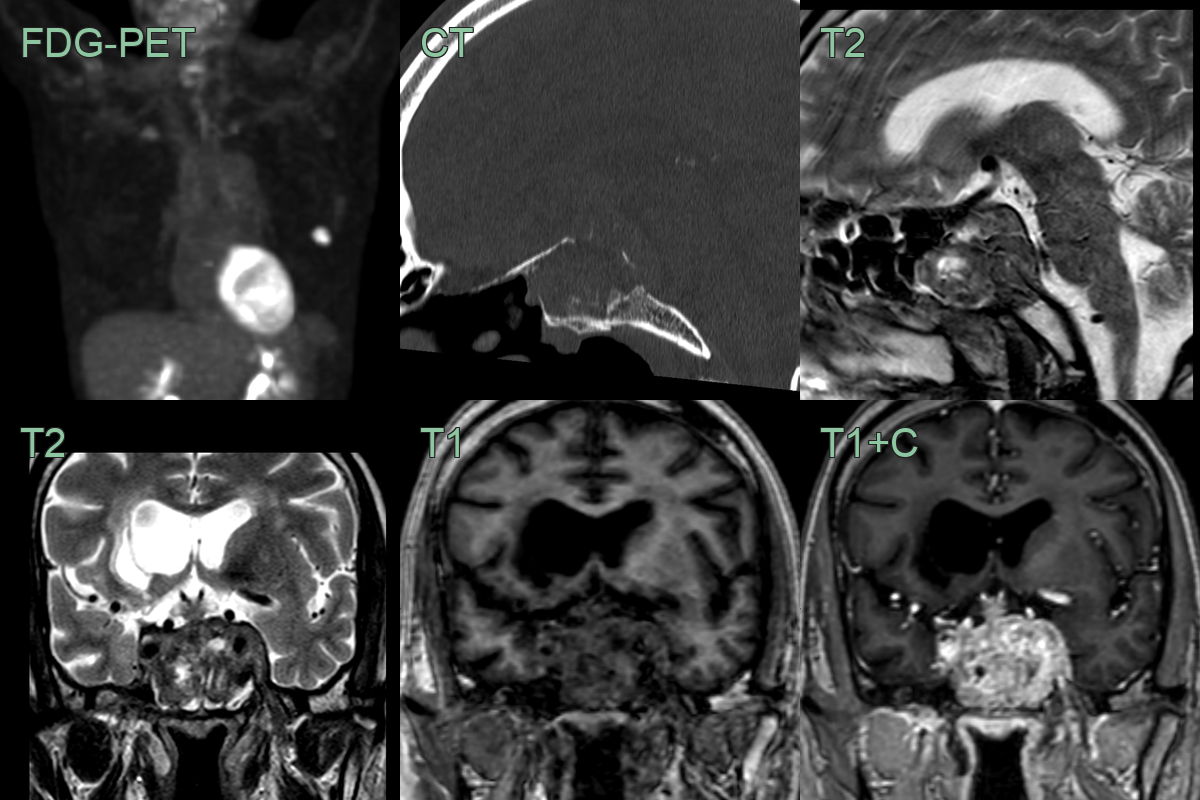
  • A 60-year-old patient with a recent lung cancer diagnosis presented wiht headache and diplopia.
  • CT showed a destructive lesion in the clivus and pitutiary fossa.
  • MRI showed a heterogeneously enhancing lesion invading the left cavernous sinus.