Cortical laminar necrosis

panels-1

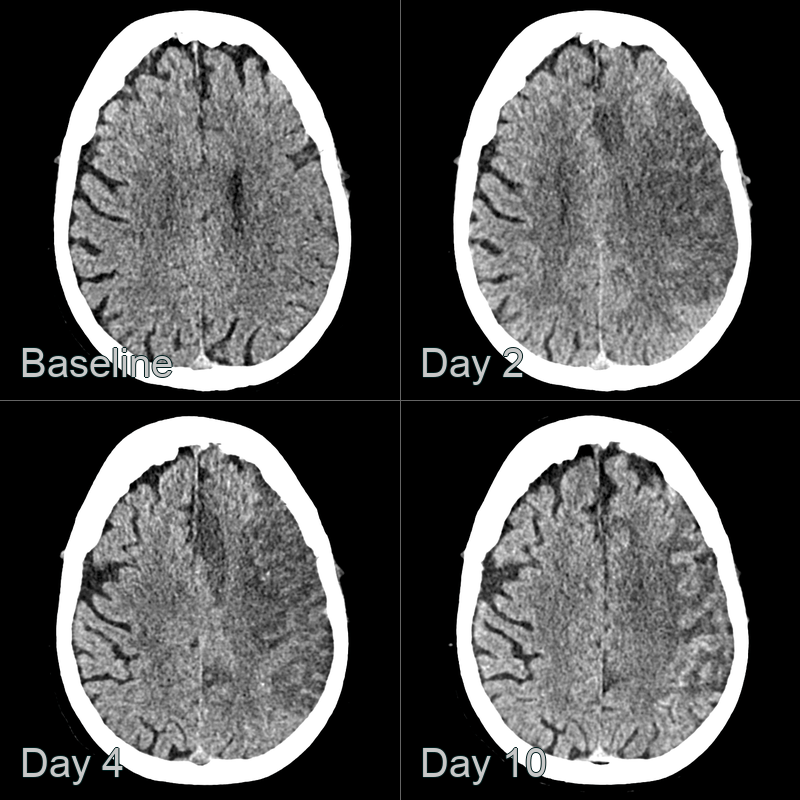
  • A 50-year-old patient presented with right sided weakness.
  • CT showed progressive hypoattenuation in the left MCA and ACA territory up to day 4.
  • At day 10 post-admission, cortical hyperdensity (obsuring the ACA infarct) was consistent with cortical laminar necrosis.