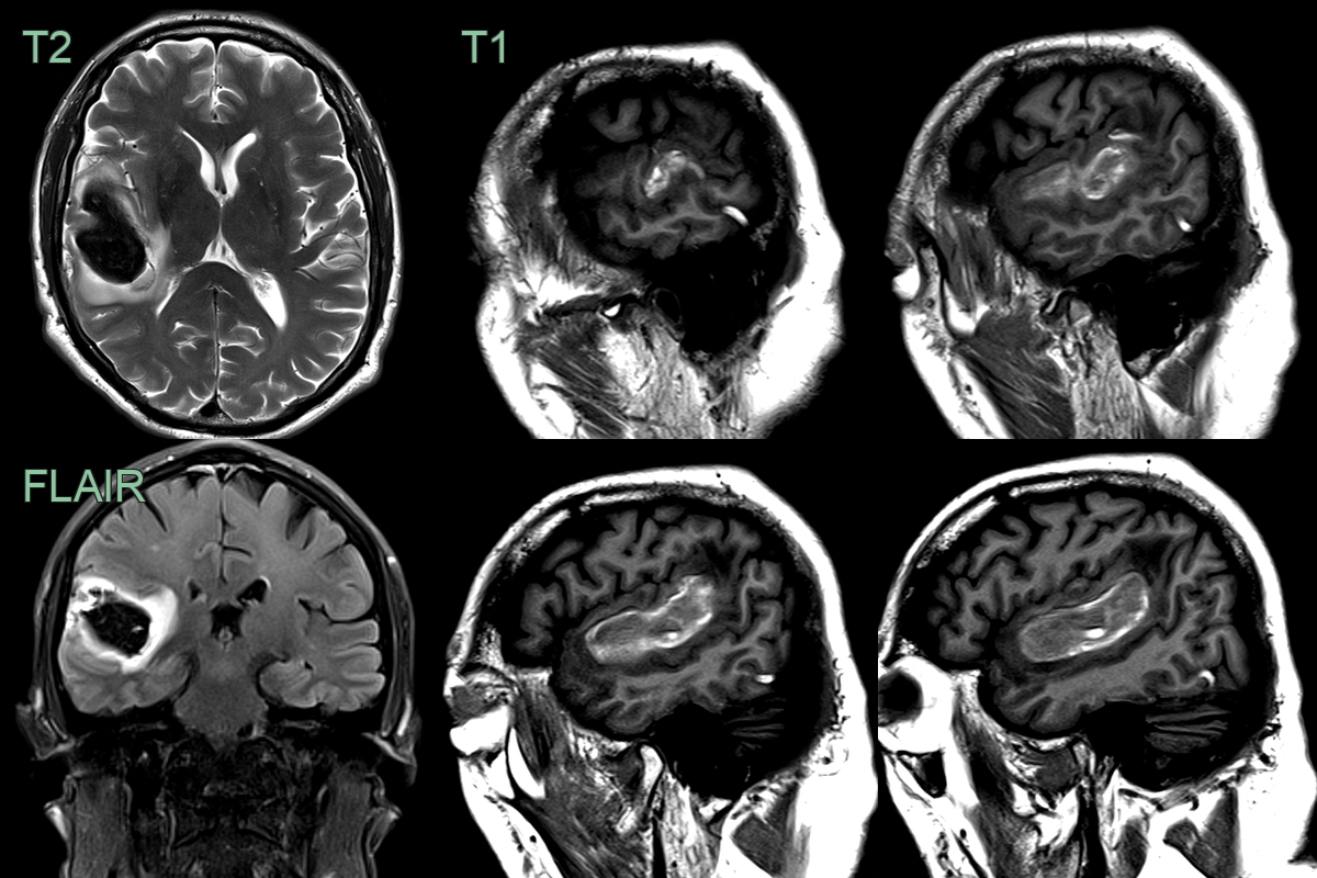
Cortical vein thrombosis

panels-1

  • A 60-year-old patient presented with a headache following a gastrointestinal illness.
  • MRI showed a large hematoma centred on Heschl's gyrus.
  • Serpigionous T1-hyperintensity over the temporal lobe represented acute thrombus in the vein of Labbe.