Skip to content

Corticobasal Degeneration (CBD)

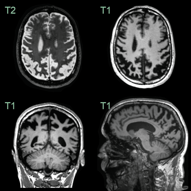
panels-1

  • 70-year-old patient with apraxia, myoclonus and alien limb phenomenon.
  • MRI showed severe parietal atrophy but no parenchymal signal abnormality.