Skip to content

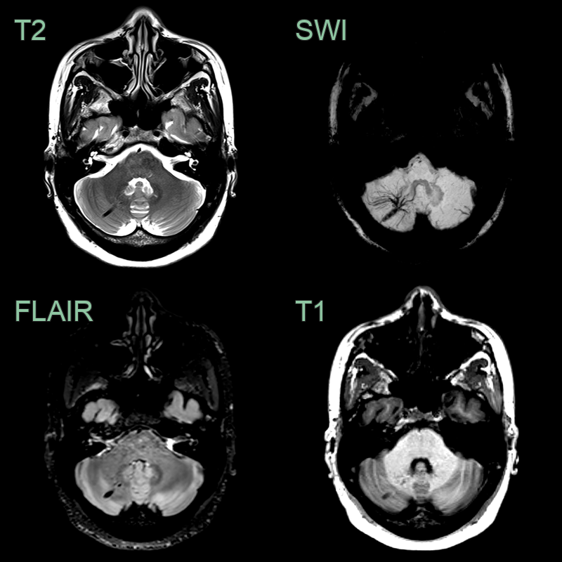
Developmental Venous Anomaly (DVA)

panels-1

  • Incidental findings of a dilated vein with the caput medusa sign.
  • The DVA was associated with a small cavernoma (red arrow) .

panels-1

  • Incidental finding of a flow void on all sequences with a wider caput medusae on the SWI minimum intensity projection.