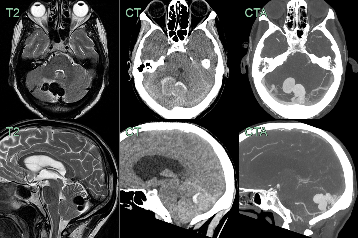
Dural arteriovenous fistula
- A 60-year-old patient presented with headache.
- An MRI on admission showed a dilated vessel in the posterior fossa with a rim of edema within the cerebellum.
- Immediately after the MRI, the patient's headache worsened and an CTA showed hemorrhage around the dural arteriovenous fistula that was supplied by the PICA.

