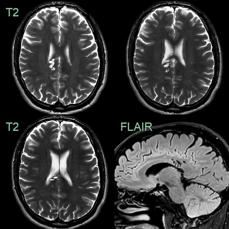
Enlarged perivascular spaces

panels-1

  • A cluster of T2-hyperintense lesions centred on the right cingulum fully suppressed on FLAIR and had no surrounding parenchymal signal change.

panels-1

  • There is an enlarged perivascular space (T2-hyperintense and fully suppressing on FLAIR) in a typical location; in the subganglionic region.
  • Both T2-weighted, time-of-flight angiography and post-gadolinium T1-weighted imaging showed the vessel traversing the perivascular space.

panels-1

  • Incidental finding of a clustered subcortical CSF signal without mass effect was consistent with enlarged perivascular spaces.
  • With no FLAIR hyperintensity, an MVNT was not likely.

panels-1

  • An incidental enlarged perivascular space in the left subganglionic region.
  • The transiting artery is seens as a flow void on T2-weighted imaging.