Epidermoid Cyst
Summary
- Benign, slow-growing congenital lesion containing keratin and cholesterol
- Typically located in cerebellopontine angle or parasellar region
- Characteristic "popcorn" appearance on diffusion-weighted MRI
Pathophysiology
- Derived from ectoderm trapped during neural tube closure (3rd-5th week of embryogenesis)
- Lined by stratified squamous epithelium producing keratin debris
- Slow growth rate (1-2 mm/year) due to desquamation of epithelial cells
Demographics
- Accounts for 0.2-1.8% of all intracranial tumours
- Male to female ratio: 1.3:1
- Peak incidence: 20-40 years of age
- Rare in children (<5% of cases)
Diagnosis
- Often asymptomatic and discovered incidentally
- When symptomatic:
- Headache (most common)
- Cranial nerve deficits (especially CN V, VII, VIII)
- Cerebellar signs
- Seizures (if supratentorial)
- Rarely, can rupture causing chemical meningitis
Imaging
- CT:
- Hypodense, well-circumscribed lesion
- No enhancement with contrast
- Calcifications in 10-25% of cases
- MRI:
- T1: Hypointense to isointense
- T2: Hyperintense
- FLAIR: Heterogeneous signal intensity
- DWI: Marked restriction (key diagnostic feature)
- No enhancement with gadolinium
- "Popcorn" appearance on DWI due to lamellated keratin
- Differential diagnosis:
- Arachnoid cyst
- Dermoid cyst
- Neurocysticercosis
- Low-grade glioma
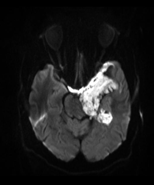
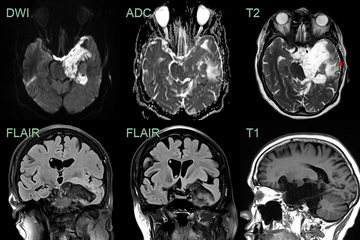
- 60-year-old patient present with ataxia and poor left-sided hearing.
- MRI showed a T2-hyperintense non-enhancing lobulated lesion with low ADC values in the left side of the posterior fossa, encasing the 7th and 8th nerve complexes.
- There was significant mass effect on the cerebellum (presumably relevant to the ataxia) but there was no oedema, indicating that this lesion has grown slowly.
Treatment
- Observation for asymptomatic lesions
- Surgical resection for symptomatic cases:
- Goal: maximal safe resection
- Complete resection challenging due to adherence to neurovascular structures
- Subtotal resection acceptable to preserve neurological function
- Gamma Knife radiosurgery:
- Alternative for residual or recurrent tumours
- Limited effectiveness due to slow growth rate
- Regular follow-up with MRI recommended due to potential for recurrence
Differential diagnosis
| Differential Diagnosis | Differentiating Feature |
|---|---|
| Dermoid cyst | Contains T1-hyperintense fat |
| Arachnoid cyst | No diffusion restriction on MRI |
| Neurenteric cyst | Typically located ventral to the brainstem or spinal cord; T1 hyperintense |
| Abscess | Surrounding oedema and contrast enhancement |
| Cholesteatoma | Typically found in the middle ear or mastoid |




