Skip to content

Focal Cortical Dysplasia (FCD)

panels-1

  • 30-year-old patient with frontal lobe seizures.
  • MRI showed a subtle region of cortical thickening at the depth of the inferior frontal sulcus.
  • A hyperintense tail extending towards the lateral ventricle indicated a Type II focal cortical dysplasia.

panels-1

  • 25-year-old male presenting with left hand sensory aura.
  • MRI showed thickened cortex of the long gyri of the right insula (red arrow) consistent with a focal cortical displasia.

panels-1

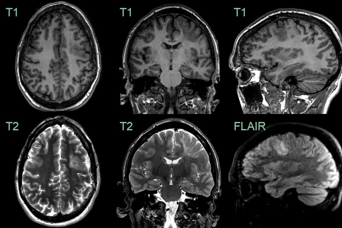
  • A 30-year-old patient with epilepsy since childhood.
  • MRI showed cortical thickening and subcortical T2-hyperintensity that was consistent with a FCD.