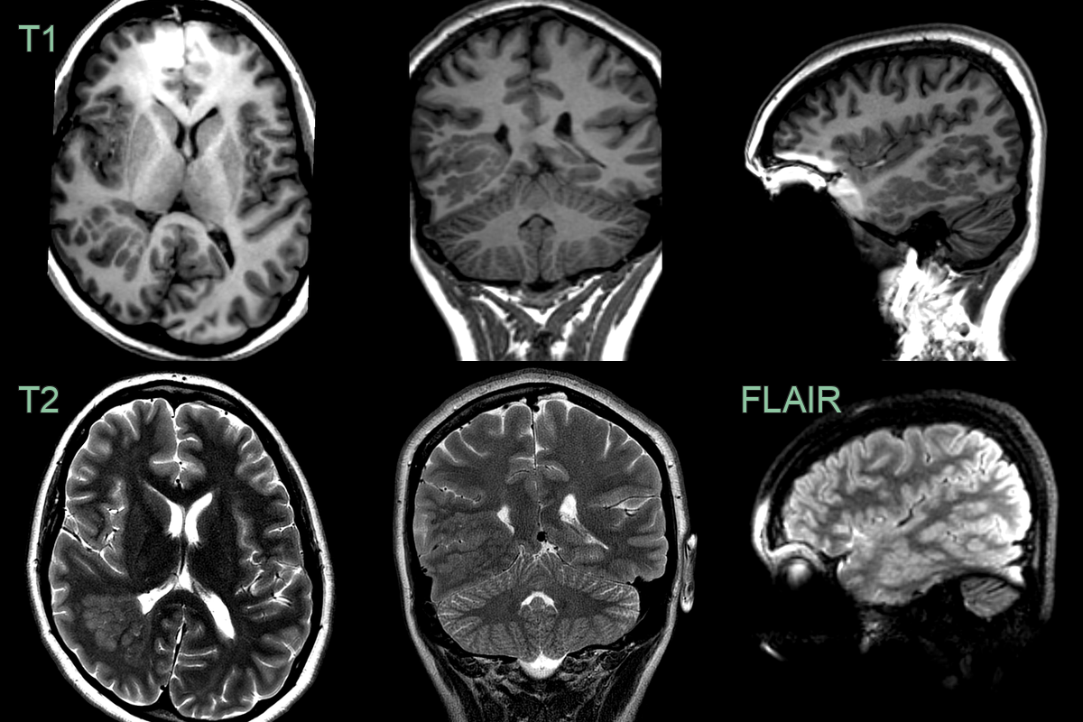
Grey matter heterotopia

panels-1

  • Extensive periventricular grey matter heterotopia in a patient with epilepsy.

panels-1

  • 30-year-old patient with epilepsy had nodular grey matter heterotopic in the left frontal lobe.

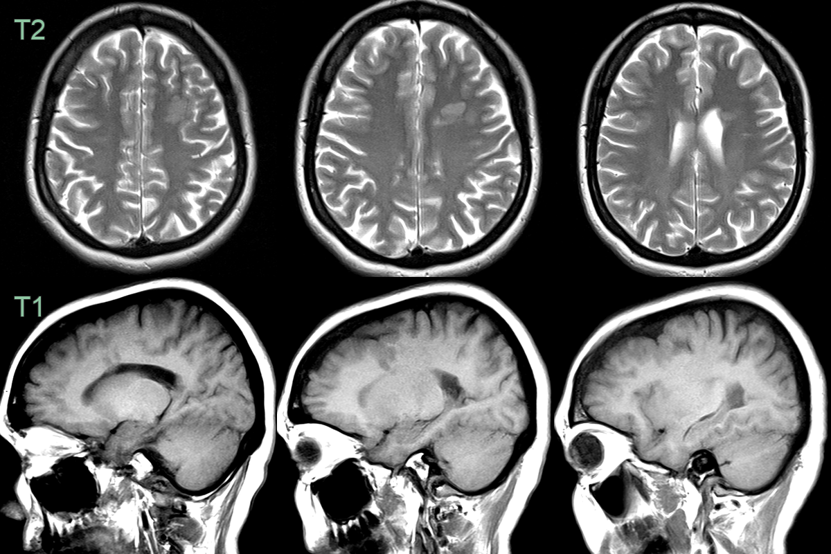
panels-1

  • 16-year-old patient with a life long history of temporal seizures (deja vu and vacant episodes with secondary generalisation).
  • MRI showed nodular grey matter heterotopia in the right temporal lobe.
  • The right cerebral hemisphere and skull was smaller on the right.