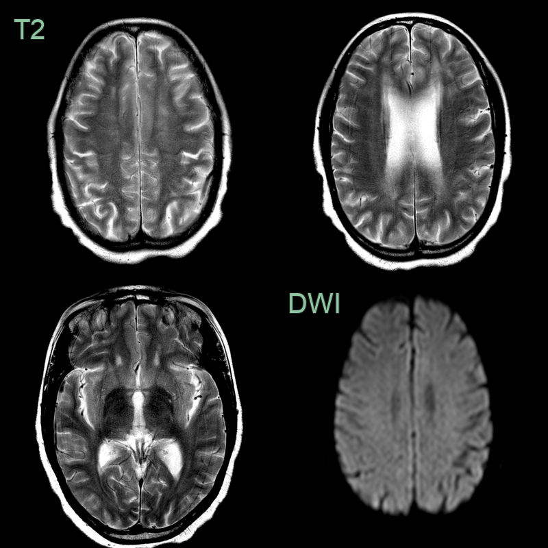
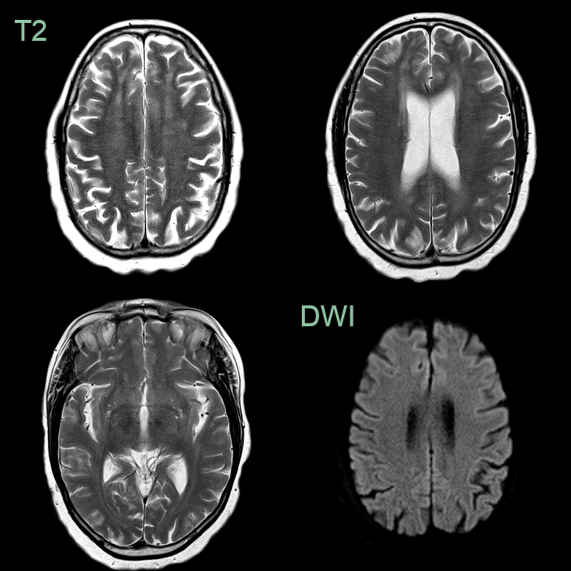
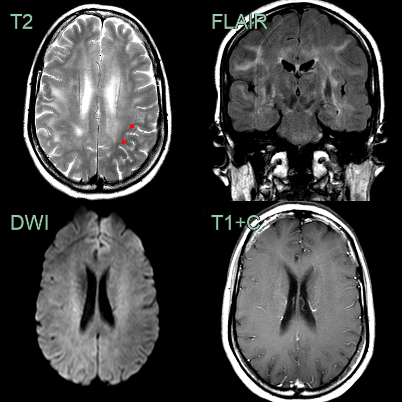
HIV encephalopathy
- A 50-year-old patient presented with cognitive impairment.
- A new diagnosis of HIV was made on admission.
- MRI showed patchy diffse white matter hyperintensity without enhancement in both cerebral hemispheres that spared the subcortical U fibres (red arrows).
- Following CSF analysis to exclude other causes and a follow-up scan 1 month later that showed no changes, the findings were ascribed to HIV encephalopathy.



