Skip to content

Herpes Simplex Virus (HSV) encephalitis

panels-1

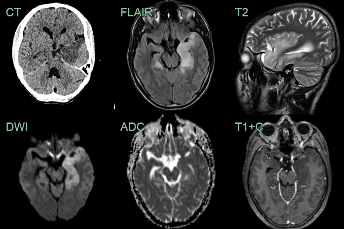
  • 50-year-old patient presented with headache and confusion.
  • CT showed swelling and low attenuation in the anterior and mesial left temporal lobe and in the right hippocampus.
  • The parenchymal low attenuation gave the impression of a hyperdense vessel (Mach effect) but infarction was not likely as both MCA nad PCA territories were involved.
  • There was high T2, FLAIR and DWI signal (without clear diffusion restriction) but no enhancement.

panels-1

  • 40-year-old patient presented with 2 day history of confusion and reduced GCS, headache and fever.
  • MRI showed hyperintensity and swelling of the right mesial temporal lobe and diffusion restriction extending up to the right parietal lobe.

panels-1

  • 70-year-old patient presented with dysphasia and right-sided weakness and seizures. HSV was identified in CSF.
  • MRI showed diffusion restriction in the cortex of left cerebral hemisphere as well as the right insula. There was swelling and subtle cortical enhancement.

panels-1

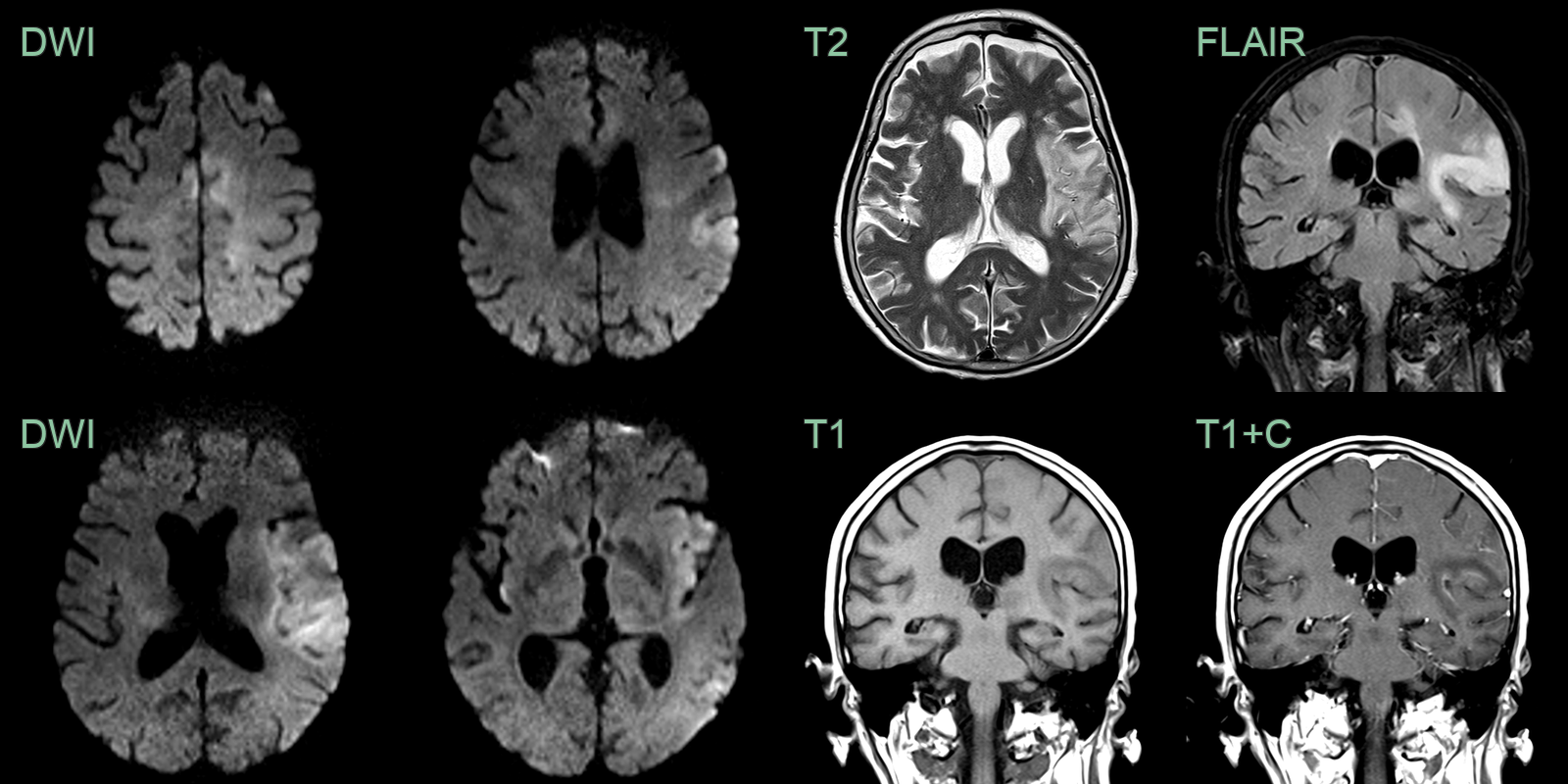
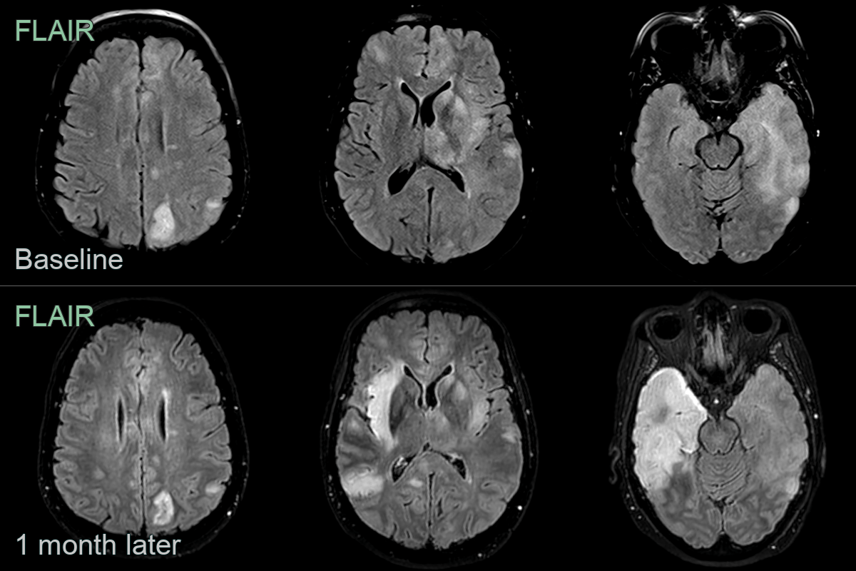
  • 60-year-old patient presented with expressive dysphasia.
  • MRI showed diffuse patchy cortical, white matter and ganglionic hyperintensity.
  • On follow-up, hyperintensity involving most of the left temporal lobe resolved while marked hyperintensity developed in the right temporal lobe.
  • Despite being repeatly negative on CSF, brain biopsy reavealed an HSV encephalitis.

panels-1

  • 75-year-old patient presented with dysphasia and right sided weakness.
  • MRI showed cortical DWI hyperintensity in the left frontal, parietal, temporal lobes and insular cortex bilaterally.
  • Initially concerned about an acute infarct, the widespread and exclusively cortical involvement and a normal CTA, made HSV encephalitis more likely (which was confirmed on CSF analysis).

panels-1

  • A 45-year-old patient presented with right sided weakness and a fever.
  • CT showed a hematoma in the left paramedian frontal lobe.
  • MRI showed edema around the hematoma as well as subtle high FLAIR signal in the cortex of the left frontal lobe and the right cingulate.
  • On follow-up imaging, the FLAIR hyperintensity (and diffusion restriction) had extended through the limbic system.
  • CSF HSV-1 PCR was positive.