Huntingdon's disease
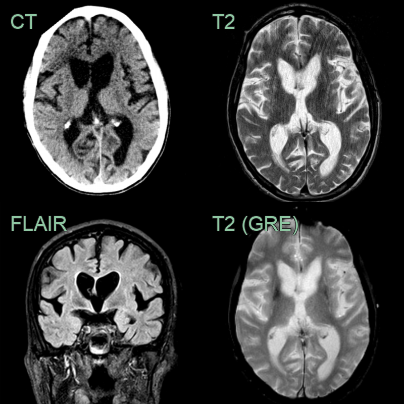
Huntingdon's disease is characterized by atrophy of the caudate nuclei resulting in a 'boxed' appearance of the frontal horns o f the lateral ventricles in the coronal plane.
- 50-year-old male with increasing clumsiness and jerky arm movements.
- MRI showed atrophy and hyperintensity of the corpora striata on both sides.
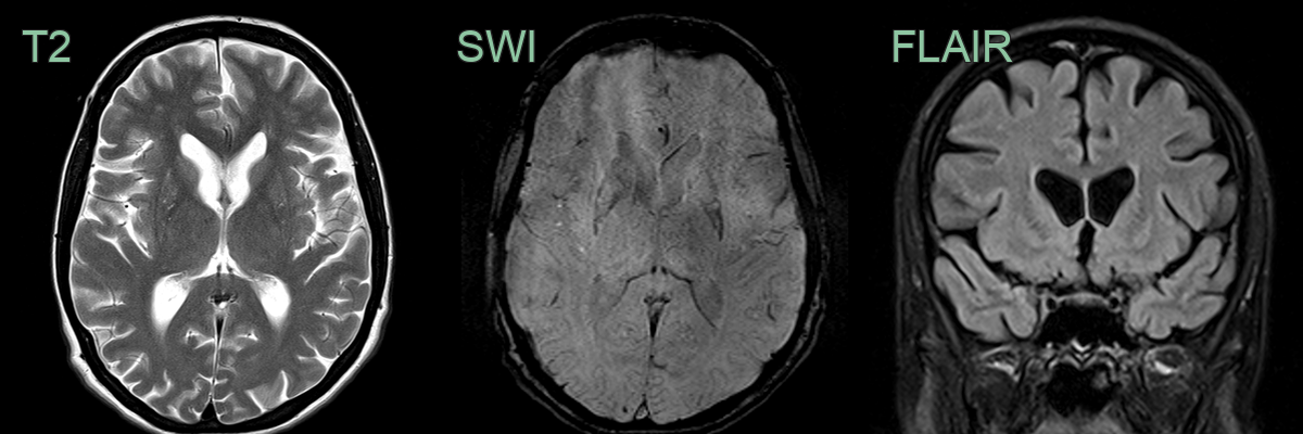
- A 55-year-old patient with a history of depression presented after worsening incoordination.
- Imaging showed marked atrophy of the caudate head. There was less pronounced atrophy of the T2-hyperintense putamina.


