Intraosseous hemangioma

panels-1

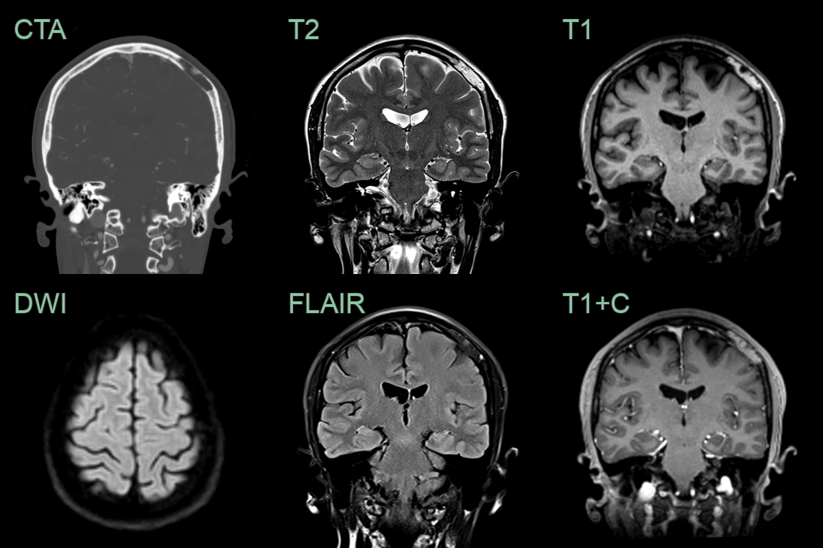
  • A 40-year-old patient presented with an enlarged forehead lump.
  • Imaging showed a partially calcified avidly enhancing intraosseous lesion in the left frontal bone.

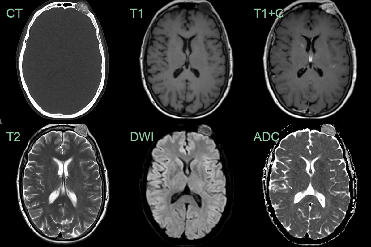
panels-1

  • An incidental lesion in the intradiploic space of the parietal bone contained fat and did not enhance (allowing for prominent nearby veins).
  • The bone appearance was not typical, but a radiological diagnosis of a fatty hemangioma was given. A lipomatous lesion is also possible.

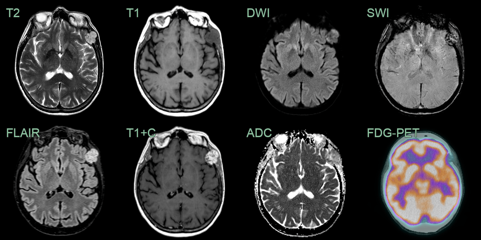
panels-1

  • A 70-year-old patient presented with a lump near the left zygoma.
  • MRI showed an avidly enhancing lesion replacing part of the frontal bone without significiant avidity on FDG PET.
  • Histopathology following resection (due to slow enlargement) confirmed a hemangioma.