Intravascular lymphoma

panels-1

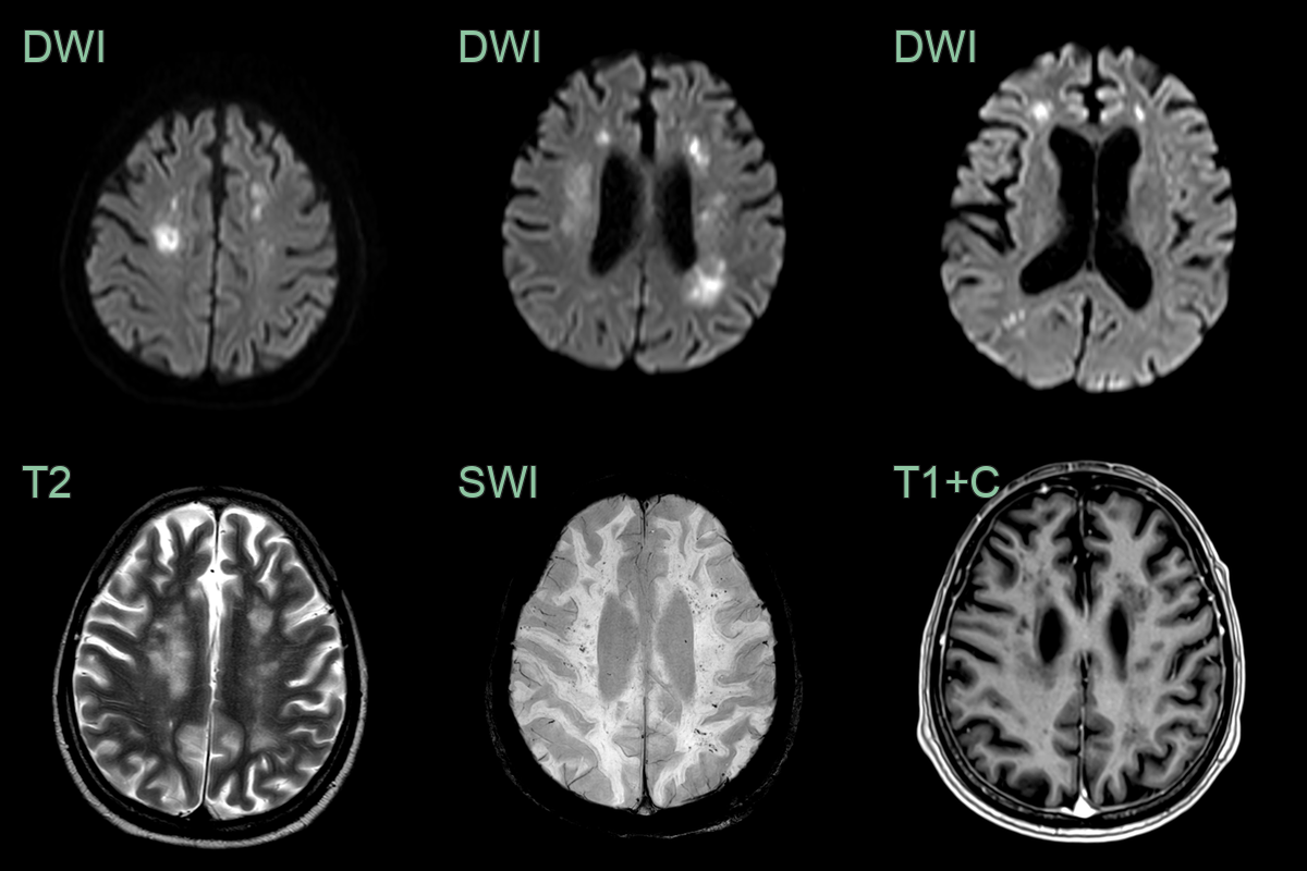
  • 70-year-old patient with progressive right sided weakness.
  • Patchy diffusion restriction and microhemorrhages in the centrum semiovale without contrast enhancement.

panels-1

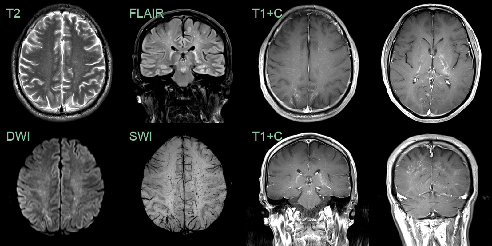
  • A 50-year-old patient presented with headache and dizziness.
  • MRI showed hazy white matter hyperintensity, puntate diffusion restriction, microhemorrhages and perivascular enhancement.
  • Intravascular lymphoma was identified following a non-targeted biopsy in the right frontal lobe.