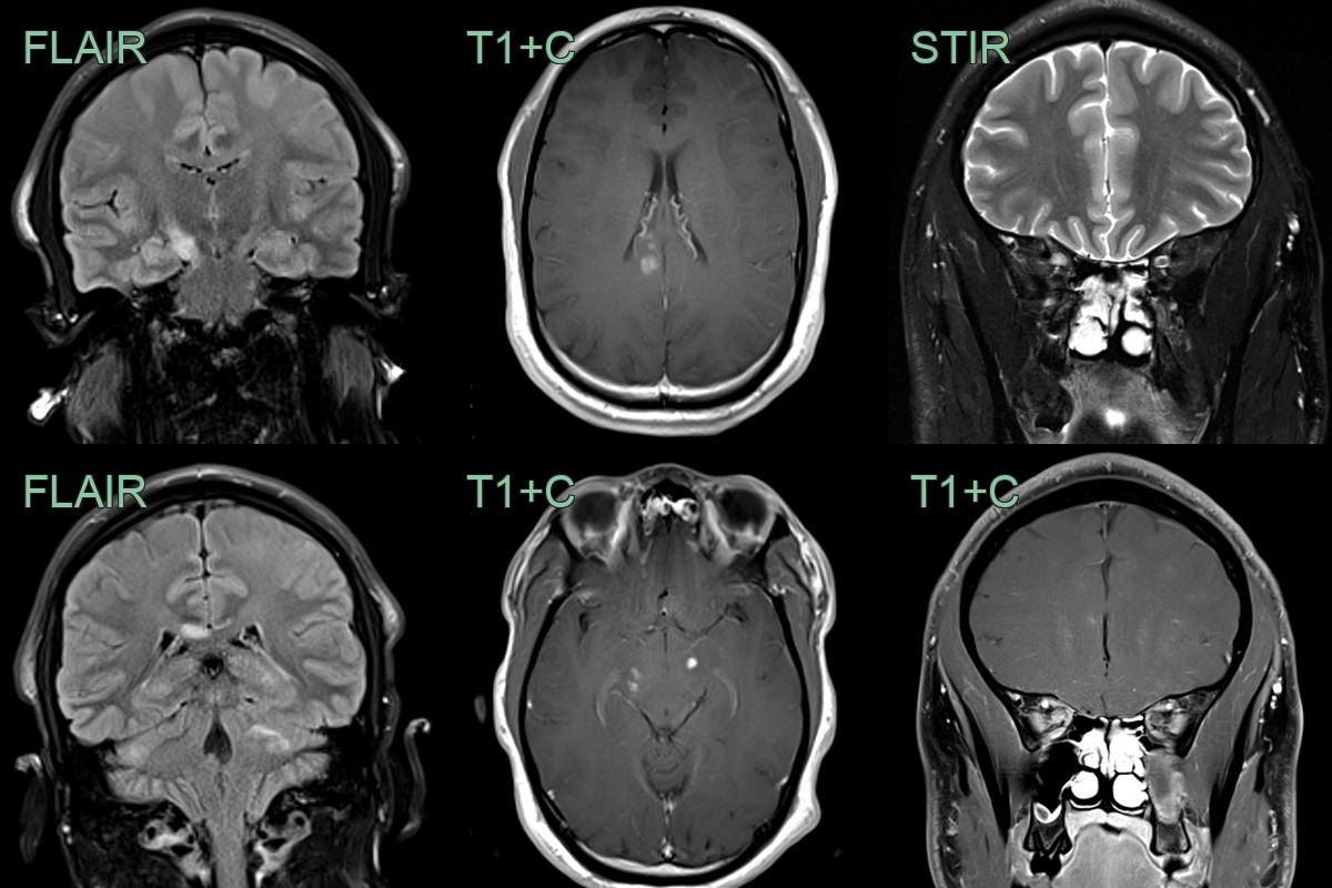
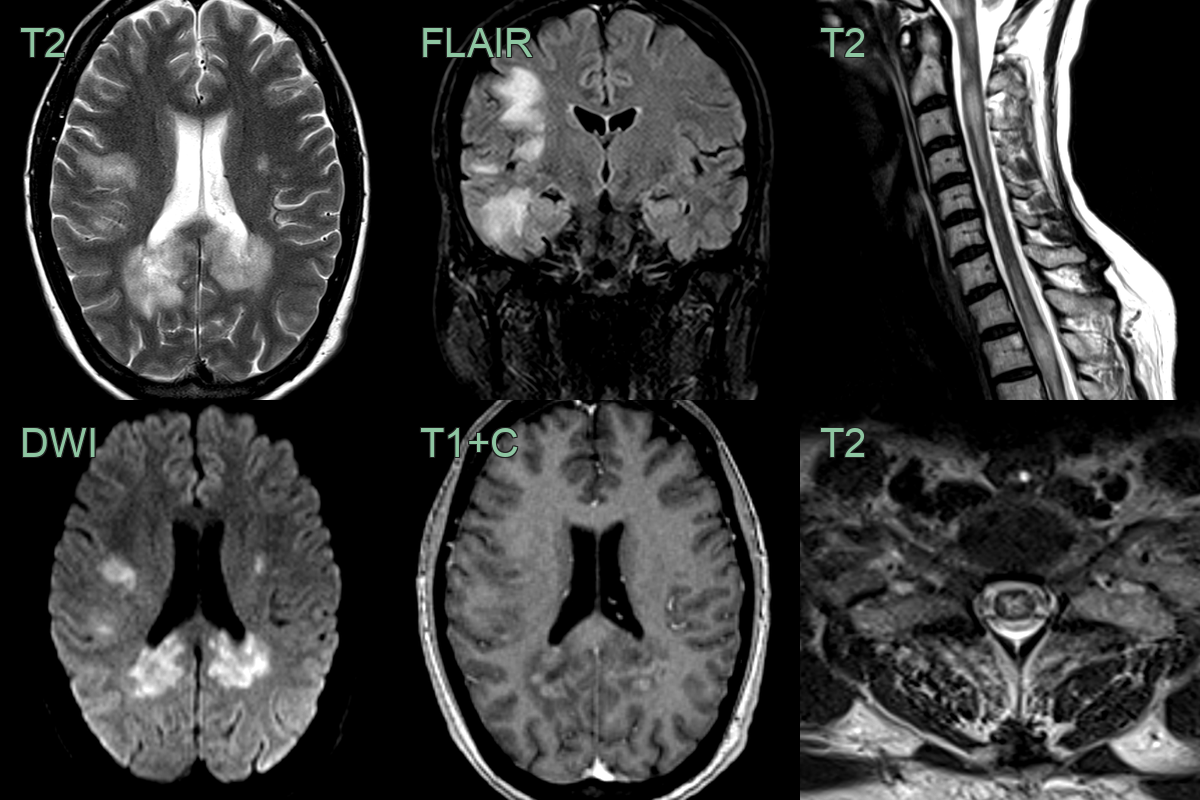
Mogad
- A 40 year old presented with confusion and upper and lower limb weakness and sensory disturbance.
- MRI showed extensive white matter lesions within both cerebral hemispheres associated with diffusion restriction and peripheral enhancement.
- In the cord, there were multiple swollen mainly central short segment cord lesions.

