Skip to content

Multinodular and Vacuolating Neuronal Tumor (MVNT)

panels-1

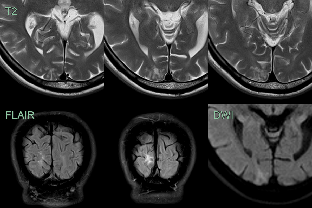
  • Incidental T2-hyperintense lesion without mass effect in the right occipital lobe. There was neither diffusion restriction nor pathological enhancement.

panels-1

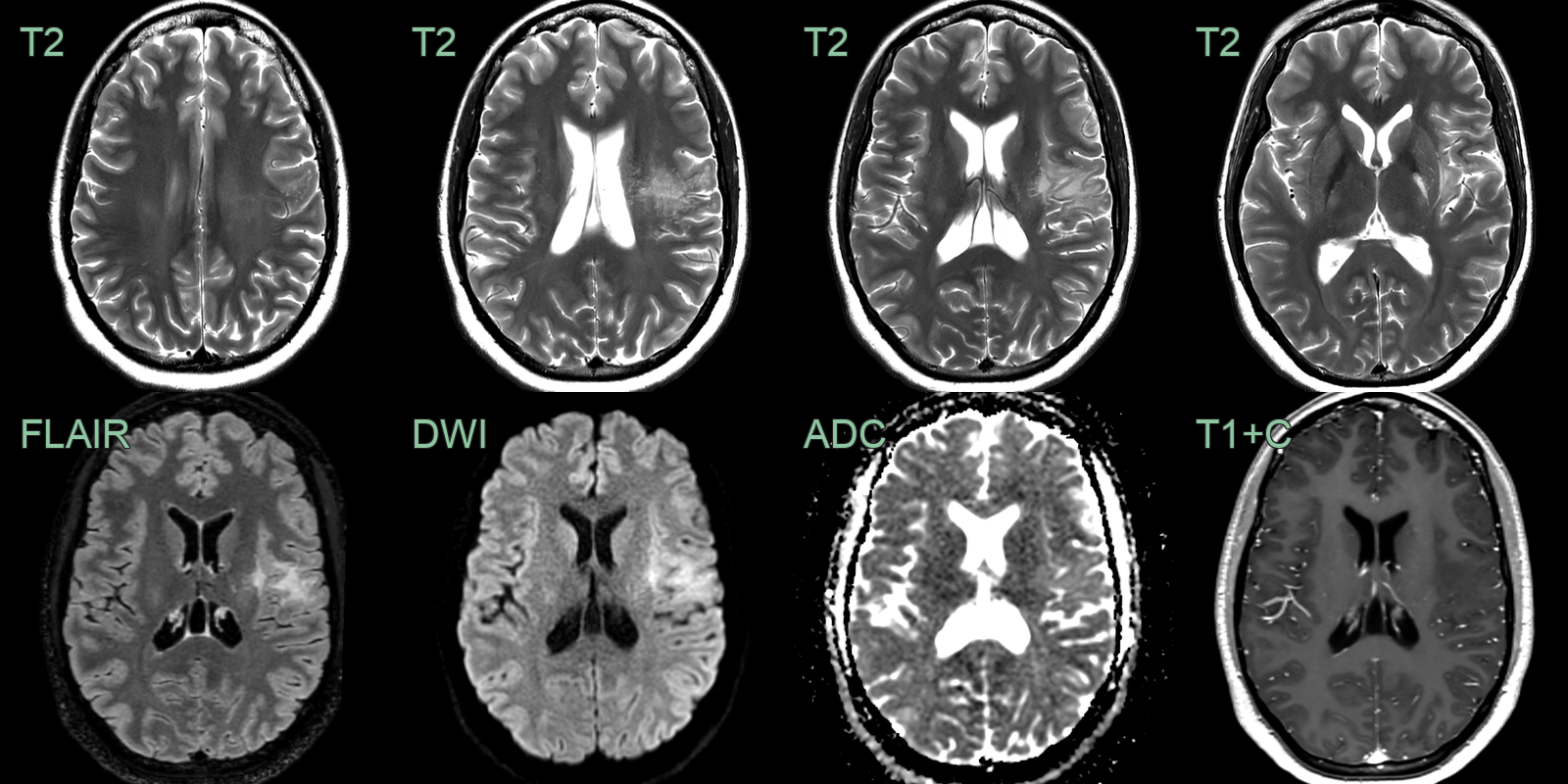
  • On an MRI performed for headache, an incidental frontal lobe lesion was identified.
  • The bubbly T2-hyperintensity and lack of enhancement are typical of MVNT,

panels-1

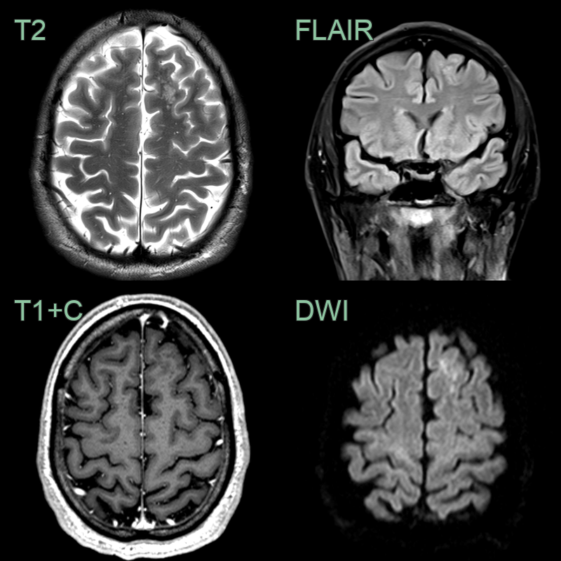
  • The "soap bubble" T2-hyperintense lesion in the left cerebral hemisphere without mass effect, diffusion restriction or enhancemetn was typical of MVNT.

panels-1

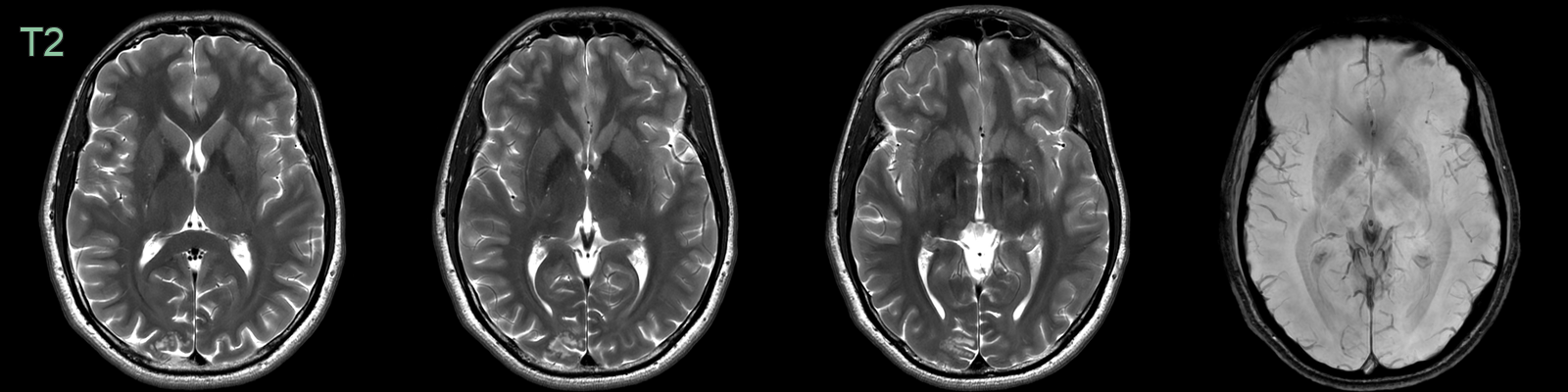
  • Clustered subcortical hyperintensities in the right occipital pole were identified incidentally.
  • The appearance, lack of enhancement and stability over four years, were consistent with MVNT.