Normal pressure hydrocephalus

panels-1

  • 70-year-old patient presented with poor balance and sphincter dysturbance.
  • MRI showed ventriculomegaly, an acute callosal angle, widening of the Sylvian fissures, crowding at the vertex, upward bowing of the corpus callosum, progressive anterior-posterior narrowing of the cingulate fissure.

panels-1 panels-1

  • A 75-year-old patient presented with memory issues and a shuffling gait.
  • MRI showed ventriculomegaly, disproportionate enlargement of the sylvian fissures, and effacement of sulci at the vertex.
  • 2 years following shunt insertion, the widening of the sylvian fissures and the effacement of sulci at the vertex improved.
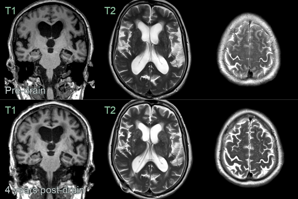
  • An 80-year-old patient presented with progressive gait and cognitive syndrome.
  • Four years after the insertion of a shunt, effacement of sulci at the vertex and the widening of the sylvian fissures improved.

panels-1

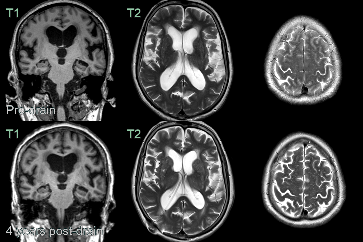
  • An 80-year-old patient presented with progressive gait and cognitive syndrome.
  • Four years after the insertion of a shunt, effacement of sulci at the vertex and the widening of the sylvian fissures improved.

panels-1

  • A 70 year old presented with cognitive impairment and a broad based gait.
  • MRI showed ventriculomegaly, focally expanded sulci, upward bowing of the corpus callosum, narrowed callosal angle, widening of the sylvian fissures.
  • The patient had a remarkable reponse to a diagnostic lumbar drain and was subsequently shunted.