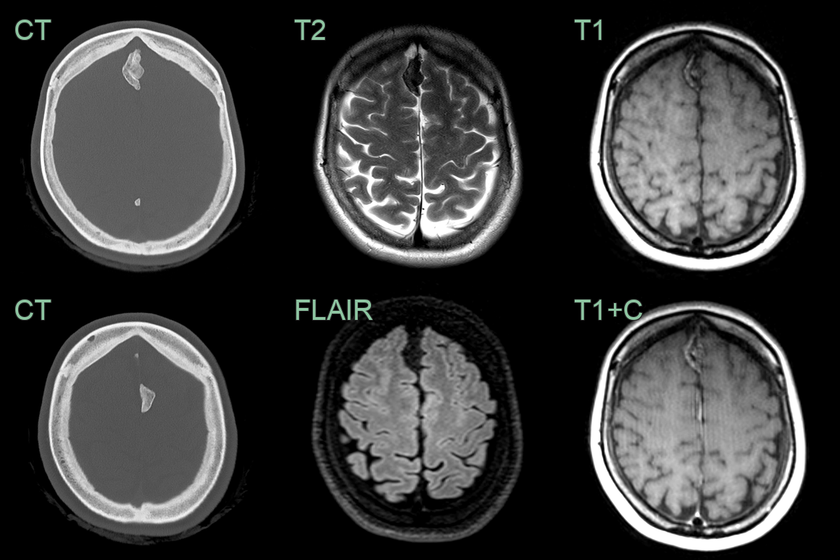
Ossification of the falx cerebri

panels-1

  • A 50-year-old patient presented with headache.
  • CT showed lobulated calcification of both sides of the falx.
  • The T1-hyperintensity and lack of enhancement was consistent with ossification of the falx (rather than a meningioma).