Skip to content

Posterior Cortical Atrophy (PCA)

panels-1

panels-1

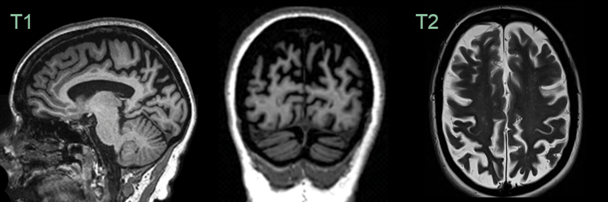
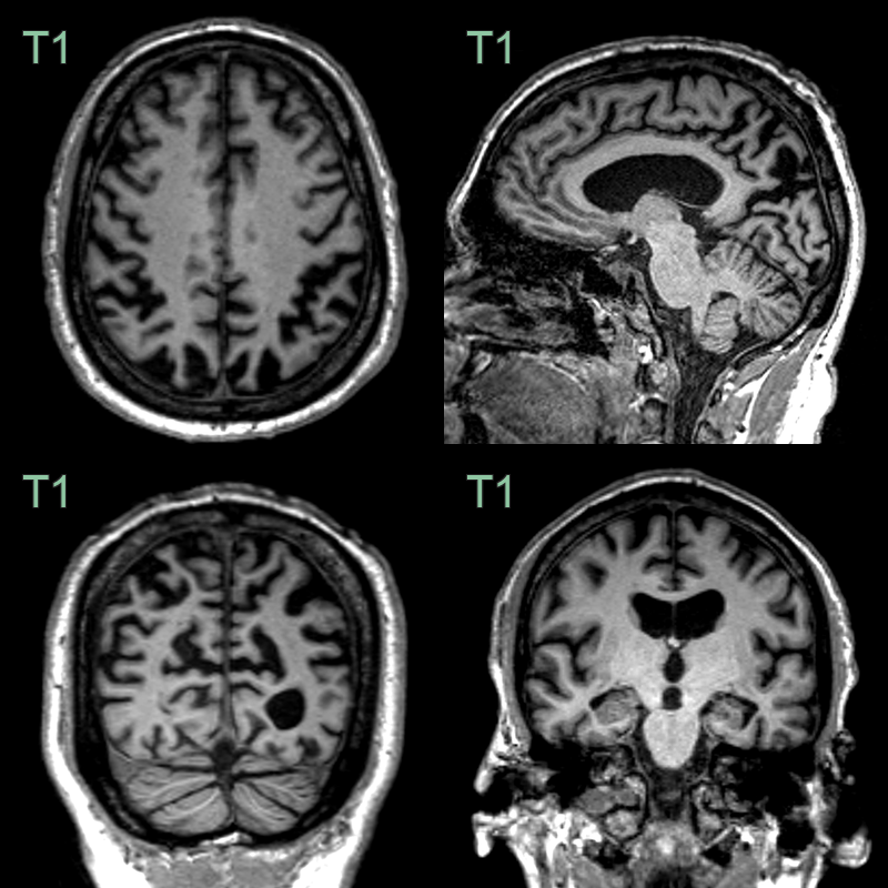
  • A 65-year-old patient presented with memory impairment, visual hallucinations and apraxia.
  • MRI showed relatively mild hippocampal atrophy on the right but severe symmetrical atrophy of the parietal and occipital lobes.
  • CSF biomarkers were compatible with Alzheimer's disease.

panels-1

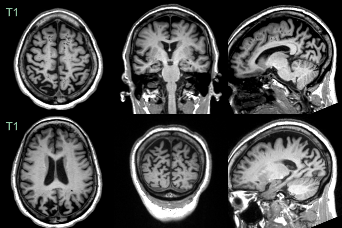
  • A 60-year-old patient presented with logopenic aphasia and memory impairment.
  • MRI showed marked widening of parietal and, to a lesser extent, occipital sulci.
  • Hippocampal volume loss was less pronounced (MTAS 2).
  • CSF biomarkers were consistent with Alzheimer's disease.