Skip to content

Progressive Supranuclear Palsy (PSP)

Summary

  • Progressive neurodegenerative disorder characterized by postural instability, supranuclear gaze palsy, and cognitive decline
  • Pathologically defined by accumulation of tau protein in neurons and glial cells
  • Imaging shows midbrain atrophy with the 'hummingbird' sign in the sagittal plane

Pathophysiology

  • Accumulation of hyperphosphorylated tau protein in neurons and glial cells
  • Neuronal loss and gliosis in affected areas
  • Familial cases associated with MAPT gene mutations

Demographics

  • Typically affects individuals over 60 years of age
  • Estimated prevalence of 5-6 per 100,000
  • No clear ethnic or geographical predisposition

Diagnosis

  • Clinical diagnosis based on:
    • Progressive balance and gait disturbances
    • Supranuclear gaze palsy, particularly affecting vertical eye movements
    • Cognitive decline and behavioural changes
  • Supportive features:
    • Axial rigidity
    • Dysphagia and dysarthria
    • Frontal lobe signs
  • Imaging shows excessive midbrain volume loss
  • Definitive diagnosis requires neuropathological confirmation

Imaging

panels-1

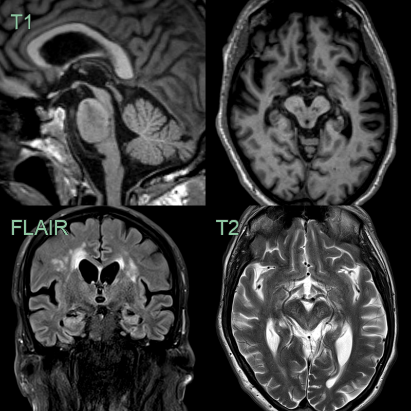
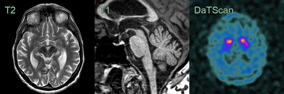
  • 75-year-old patient with postural instability and supranuclear palsy.
  • The midbrain tegmentum is atrophic causing a flattened superior border.
  • The DaTscan shows reduced tracer uptake in the putamina (particularly on the right).

panels-1

  • 65-year-old patient presented with instability, free falls, and a vertigcal gaze palsy.
  • MRI showed marked atrophy of the pons.
  • DaTscan showed loss of normal tracer uptake in both corpora striata.

panels-1

  • 60-year-old patient presented with poor balance, multiple falls, and rigidity. Initially diagnosed with Parksinson's disease, there was a poor response to levdopa.
  • MRI showed marked midbrian atrophy (as well as a moderate burden of small vessel disease).

panels-1

  • 70-year-old patient presented with parkinsonism.
  • MRI showed marked atrophy of the midbrain over a three year period.
  • DaTscan showed high background uptake and with loss of the normal updake in the striatum.

Treatment

  • No curative treatment available
  • Management focuses on symptomatic relief:
    • Levodopa for parkinsonian symptoms (limited efficacy)
    • Antidepressants for mood disorders
    • Speech and language therapy for dysphagia and dysarthria
    • Physiotherapy and occupational therapy for mobility and daily living activities
  • Emerging experimental therapies:
    • Tau-directed immunotherapies
    • Microtubule stabilisers

Differential diagnosis

Differential Diagnosis Distinguishing Feature
Parkinson's Disease Vertical gaze palsy in PSP; tremor more common in PD
Multiple System Atrophy Cerebellar signs and autonomic dysfunction more prominent in MSA
Corticobasal Degeneration Asymmetric limb apraxia and cortical sensory loss in CBD
Lewy Body Dementia Visual hallucinations and fluctuating cognition more common in LBD
Normal Pressure Hydrocephalus Urinary incontinence and magnetic gait in NPH
Vascular Parkinsonism Stepwise progression and lower body involvement in vascular parkinsonism
Frontotemporal Dementia Behavioral changes and language deficits more prominent in FTD