Reversible Cerebral Vasoconstriction Syndrome (RCVS)
- 25-year-old patient had an emergency c-section for eclampsia.
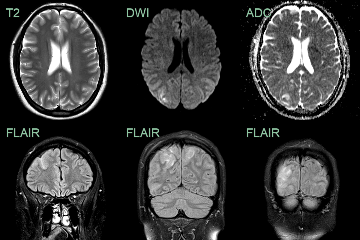
- MRI was performed after the patient developed an occipital headache, visual disturbance, and vomiting.
- MRI showed cortical and subcortical T2 and FLAIR hyperintensity and a trace of subarachnoid blood.
- MRA showed stenoses and irregularity of the A2 ACAs and the right M2 MCAs.
- The findings fully resolved on imaging 3 months later.


