Varicella Zoster Virus (VZV) Vasculitis
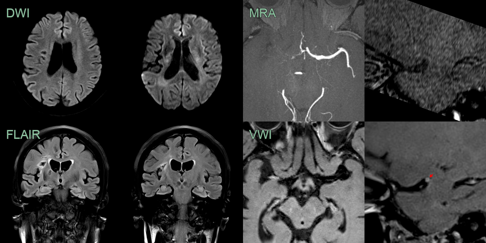
- 50-year-old patient presented with visual disturbance and left sided weakness.
- CSF PCR was positive for VZV.
- MRI showed multiple left MCA territory infarcts.
- There wasthick eccentric enhancement on the right MCA but no stenosis initially.
- After 5 months and following steroid therapy, the enhancement associated with the vasculopathy regressed but a severe long segment stenosis developed. This only slightly improved (trace of flow related signal) on further follow-up MRA (not shown).

