Neuroradiology
Welcome to neuroradiology.com.
Contribute
If you would like to contribute a case, you can submit by clicking here.
Case of the month
April 2025
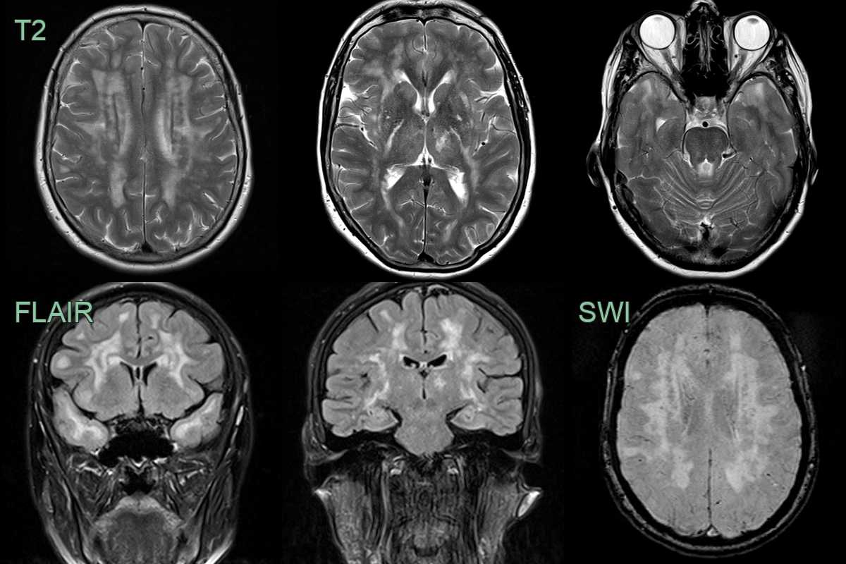
- A 55-year-old patient with a long history migraine presents to the emergency department after developing an aura.
- What is the diagnosis?
Click to reveal the answer
- Patient had an inherited small vessel disease genetic panel that revealed a NOTCH-3 mutation.
-
Imaging shows a severe burden of small vessel disease that involved the external and internal capsules and the temporal poles, which is not common in conventional small vessel disease. There were a few old lacunar infarcts (e.g., left thalamus) and a small number of microhemorrhages.
